Dental Bonding
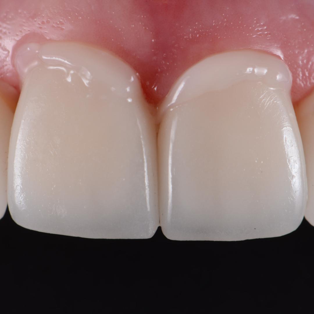
Bonding is a cosmetic procedure that allows the dentist to reshape or repair your smile using composite resin. Cosmetic bonding is particularly ideal if you’re insecure about the appearance of your smile or want an affordable alternative to invasive and more costly procedures such as orthodontics or veneers. With bonding, chipped or uneven teeth can be repaired easily and affordably, restoring your self-confidence. Additionally, bonding is often completed in a single visit and doesn’t require any anesthetic!
As with most cosmetic procedures, bonding will wear and discolor over time, eventually needing to be replaced; however, bonding is very durable and typically lasts many years.
Reasons For Cosmetic Bonding:
-
Closing spaces or gaps
-
Fixing chipped teeth
-
Fixing decayed teeth (teeth with cavities)
-
Lengthening uneven teeth
-
Protecting roots exposed by receding gums
-
Restoring badly discolored teeth
What Does Dental Bonding Involve?
To begin, the dentist will isolate the teeth included in the procedure, etching them in preparation for bonding. After applying the etching conditioning liquid, the surface of the teeth will have small crevices that allow the tooth stronger adhesion with the bonding agent.
The dentist will then apply a bonding resin which cements the composite in place. After several layers of tooth-colored composite are applied, the composite and bonding resin are shaped and hardened with a specially calibrated light. Once the composite is fully set, the bonded areas are smoothed, buffed, and polished to blend in naturally with the surrounding teeth.
If you want to regain confidence in your smile, contact our practice to learn more about bonding.

